수치과병원소개 | 手라미네이트 | 심미진료 | 치아교정 | 디지털임플란트 | 통합클리닉 | 상담&치료후기 로그인 회원가입
무통치료 시스템보존/충치치료잇몸케어사랑니발치구강종합검진

사랑니 발치

사랑니 안심하고 치료하세요.

SU DENTAL HOSPITAL

사랑니발치

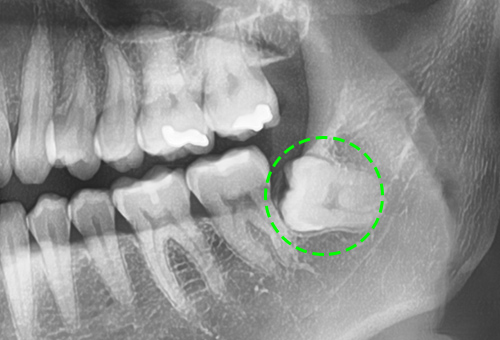
사랑니 발치의 필요성

사랑니는 입안 제일 뒤쪽 마지막에 나는 어금니로 대부분 공간이 부족한 상태로 나와
치열의 뒤틀림, 충치, 치주질환 등의 발생확률을 높이기 때문에 발치하는 것이 좋습니다.

사랑니는 입안 제일 뒤쪽 마지막에 나는 어금니로
대부분 공간이 부족한 상태로 나와 치열의 뒤틀림,
충치, 치주질환 등의 발생확률을 높이기 때문에
발치하는 것이 좋습니다.

SU DENTAL HOSPITAL

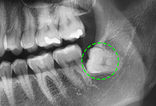
사랑니 상태별 진단

  • 매복된 사랑니

    아직 자라지 않았거나, 머리 부분만 자란 사랑니는 간혹 치아를 둘러싸고 있는 치아주머니에 물이 차
    염증반응을 일으키기 쉽기 때문에 눈에 보이지 않더라도 발치하는 것이 좋습니다.

  • 기울어진 사랑니

    사랑니 바로 앞 어금니를 간섭해, 충치가 발생할 확률이 매우 높고 이로 인해 치열이 불규칙해 질 수 있습니다.

  • 누워서 가로로 자란 사랑니

    주변치아의 충치와 염증을 유발하기 쉽고, 턱뼈에 압력을 가해 지속적인 통증을 유발하거나,
    턱뼈가 약해질 수 있습니다.

  • 곧게 자란 사랑니

    정상적으로 자란 사랑니는 관리만 잘해주면 괜찮을 수 있지만, 충치나 잇몸질환이 발생하기 전에
    미리 발치하는 것이 더 좋습니다.

SU DENTAL HOSPITAL

사랑니 발치 과정

/_files/5WsFmy2x8.jpg /_files/5Wxbxbeda.png




상호명 : 수치과병원|주소 : 서울특별시 강남구 선릉로 823, 3층 (신사동)
대표자: 박호산|사업자번호 : 555-17-01623| Tel : 02-512-7528|Fax : 02-514-2865

Copyright © 2020 SU Dental Hospital. All Rights Reserved.

상호명 : 수치과병원|주소 : 서울특별시 강남구 선릉로 823, 3층 (신사동)
대표자: 박호산|사업자번호 : 555-17-01623| Tel : 02-512-7528|Fax : 02-514-2865

© SU Dental Hospital.

카카오상담 네이버예약 instagram blog

개인정보 수집동의 자세히보기