수치과병원소개 | 手라미네이트 | 심미진료 | 치아교정 | 디지털임플란트 | 통합클리닉 | 상담&치료후기 로그인 회원가입
앞니치료어금니치료원데이 치아미백스마일라인 케어

스마일라인 케어

자연스럽고 이상적인 스마일라인으로 개선시켜 드립니다.

SU DENTAL HOSPITAL

스마일라인 케어

웃을때 보여지는 잇몸을 새롭게 디자인함으로써
자연스럽고 이상적인 스마일라인으로 개선

웃을때 보여지는 잇몸을
새롭게 디자인함으로써
자연스럽고 이상적인 스마일라인으로 개선

예쁜 잇몸라인을 위한 잇몸성형, 잇몸미백, 보톡스 등의
다양한 방법으로 스마일라인을 개선합니다.

예쁜 잇몸라인을 위한 잇몸성형, 잇몸미백, 보톡스 등의
다양한 방법으로 스마일라인을 개선합니다.

01

잇몸성형

잇몸 모양을 새롭게 디자인하여
자연스럽고 이상적인 잇몸라인 완성

잇몸 모양을 새롭게 디자인하여
자연스럽고 이상적인 잇몸라인 완성

웃을때 드러나는 잇몸모양을 개선하는 방법으로
일부분의 잇몸을 새롭게 디자인함으로써 자연스럽고 이상적인 잇몸라인을 만들 수 있습니다.

웃을때 드러나는 잇몸모양을 개선하는 방법으로
일부분의 잇몸을 새롭게 디자인함으로써
자연스럽고 이상적인 잇몸라인을 만들 수 있습니다.

SU DENTAL HOSPITAL

잇몸성형,
이런분들께 적합
합니다.

SU DENTAL HOSPITAL

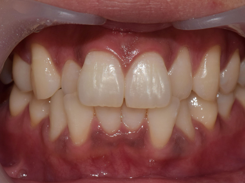
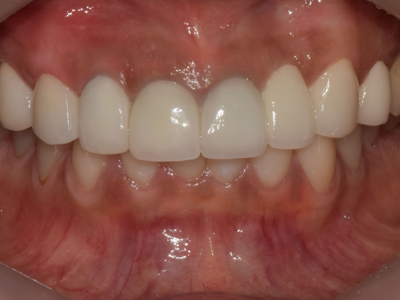
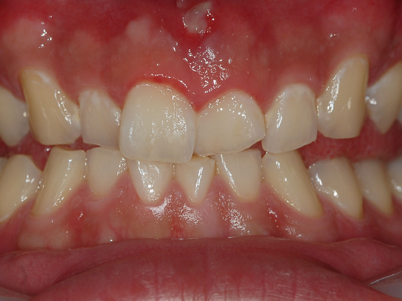
잇몸성형의 치료사례

  • before

    after

  • before

    after

02

잇몸미백

침착된 멜라닌 색소 층을 제거하여
선분홍색 잇몸으로 되돌리는 시술

선·후천적인 이유로 멜라닌 색소가 침착되면 잇몸이 검게 보일 수 있는데,
이를 다양한 기구를 통해 제거하여 건강한 선분홍색 잇몸으로 되찾아주는 시술입니다.

선·후천적인 이유로 멜라닌 색소가 침착되면
잇몸이 검게 보일 수 있는데, 이를 다양한 기구를 통해 제거하여
건강한 선분홍색 잇몸으로 되찾아주는 시술입니다.

SU DENTAL HOSPITAL

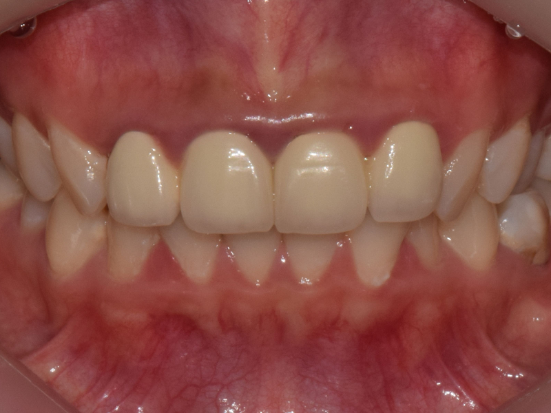
잇몸미백의 치료사례

  • before

    after

03

잇몸보톡스

보톡스를 통해 입가 주위의 근육을 개선하여
자연스러운 스마일라인 완성

근육을 풀어주는 보톡스를 통해 입술근육, 턱관절근육 등을 개선하여
자연스러운 스마일라인을 만들어주는 시술입니다.

근육을 풀어주는 보톡스를 통해
입술근육, 턱관절근육 등을 개선하여
자연스러운 스마일라인을 만들어주는 시술입니다.

상호명 : 수치과병원|주소 : 서울특별시 강남구 선릉로 823, 3층 (신사동)
대표자: 박호산|사업자번호 : 555-17-01623| Tel : 02-512-7528|Fax : 02-514-2865

Copyright © 2020 SU Dental Hospital. All Rights Reserved.

상호명 : 수치과병원|주소 : 서울특별시 강남구 선릉로 823, 3층 (신사동)
대표자: 박호산|사업자번호 : 555-17-01623| Tel : 02-512-7528|Fax : 02-514-2865

© SU Dental Hospital.

카카오상담 네이버예약 instagram blog

개인정보 수집동의 자세히보기