수치과병원소개 | 手라미네이트 | 심미진료 | 치아교정 | 디지털임플란트 | 통합클리닉 | 상담&치료후기 로그인 회원가입
앞니치료어금니치료원데이 치아미백스마일라인 케어

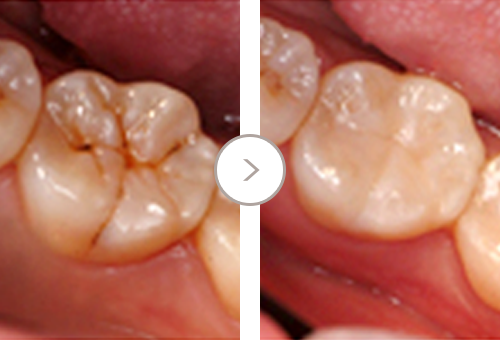
어금니 치료

어금니 충치치료도 내 치아처럼 자연스럽게 시술합니다.

SU DENTAL HOSPITAL

어금니 치료

내 치아처럼 자연스럽게!

어금니에 생긴 충치도 본연의 치아처럼 티나지 않고
자연스럽게 치료하는 수치과병원의 심미 어금니 치료입니다.

어금니에 생긴 충치도 본연의 치아처럼 티나지 않고
자연스럽게 치료하는 수치과병원의 심미 어금니 치료입니다.

SU DENTAL HOSPITAL

어금니 심미치료의 종류

SU DENTAL HOSPITAL

어금니 심미치료의 재료

  • 레진

    치아와 유사한 색상이며, 플라스틱과 비슷한 재질로, 초기 충치치료에 사용되며 강도가 부족하여 힘을 많이 받거나 면적이 넓은 부위의 충치 치료에는 제한적 입니다.

  • 일반 세라믹

    치아색상과 유사한 재료로 변색이 없고, 마모 강도가 우수하여 인레이, 크라운, 라미네이트 등
    최근 어금니 충치 치료 시 가장 흔히 사용됩니다. 자연치아와 가장 동일한 형태와 색을 낼 수 있어 육안으로는 자연치아와 큰 차이를 알 수 없습니다.

  • 지르코니아

    일반 세라믹과 동일하게 치아색상과 비슷하며 세라믹보다 투명도는 떨어지지만, 자연치아보다 약 3배 가량 강한 강도로 교합력이 센 경우에 추천하는 재료입니다.

상호명 : 수치과병원|주소 : 서울특별시 강남구 선릉로 823, 3층 (신사동)
대표자: 박호산|사업자번호 : 555-17-01623| Tel : 02-512-7528|Fax : 02-514-2865

Copyright © 2020 SU Dental Hospital. All Rights Reserved.

상호명 : 수치과병원|주소 : 서울특별시 강남구 선릉로 823, 3층 (신사동)
대표자: 박호산|사업자번호 : 555-17-01623| Tel : 02-512-7528|Fax : 02-514-2865

© SU Dental Hospital.

카카오상담 네이버예약 instagram blog

개인정보 수집동의 자세히보기