SU DENTAL HOSPITAL
원데이 라미네이트
당일(3~4hour) 라미네이트로
다시 살아나는 치아라인
당일(3~4hour) 라미네이트로
다시 살아나는 치아라인
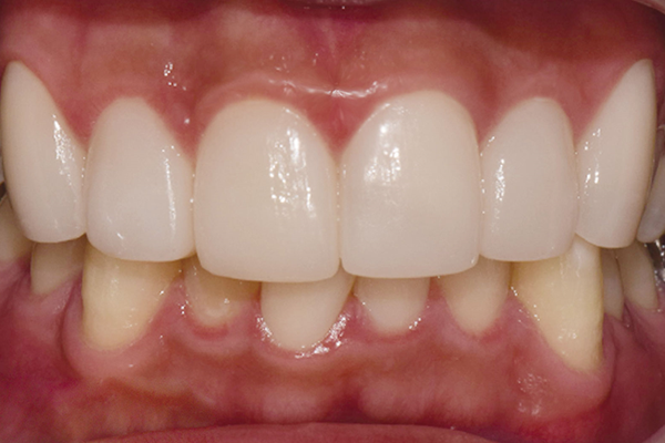
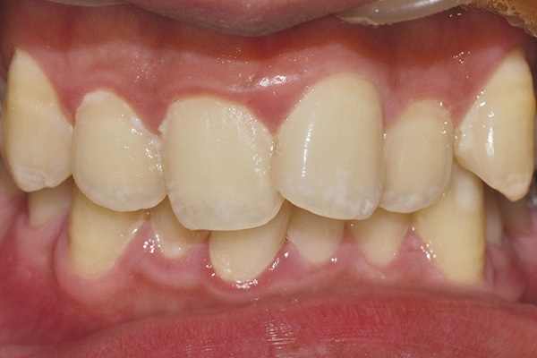
기존 최소삭제 라미네이트에서 한 단계 업그레이드 된 원데이 라미네이트로
얼굴 프로필 라인을 분석하고, 각각의 치아크기와 각도 심미분석을 통해 내 얼굴에 최적화된 앞니를 디자인합니다.
*치료시간 및 원데이 여부는 환자분 케이스에 따라 다를 수 있습니다.
기존 최소삭제 라미네이트에서 한 단계 업그레이드 된
원데이 라미네이트로 얼굴 프로필 라인을 분석하고,
각각의 치아크기와 각도 심미분석을 통해
내 얼굴에 최적화된 앞니를 디자인합니다.
*치료시간 및 원데이 여부는
환자분 케이스에 따라 다를 수 있습니다.



